私の糖尿病50年-糖尿病医療の歩み
40.薬で糖尿病を予防できる
1. 自己免疫糖尿病のモデル動物
正常ラットを基礎集団として選抜交配をして糖尿病ラットを作るのに成功した頃、米国の実験動物飼育場(B B Lab.)では重症の糖尿病になるラットがみつかり、膵島にはリンパ球の浸潤がみられ膵島炎が起こっていることが報告された。
|
2. NODマウスの膵島炎が起こらない
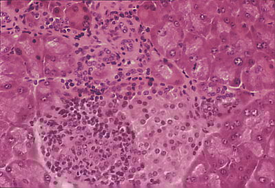
教室には免疫グループもあって、臨床での研究に困難の様子だったので、シオノギのマウスの研究会が結成されたときにそれに参加した。マウスは非肥満糖尿病マウス nonobese diabetic mouse ということから、NODマウスと呼称されることになった。東北大学では免疫をやっていた佐藤譲博士(現、岩手医科大学内科教授)がNODの免疫機構の研究を行うことになった。佐藤譲博士らは免疫学の熊谷勝男教授の指導を受けており、NODマウスに免疫関連物質がどのような影響を与えるかについて研究を行った。佐藤譲博士は新谷茂樹学士らと、当時がんも縮小させると言われていた免疫修飾剤 biological response modifier のひとつのOK432(ピシバニール)をNODマウスに注射してみた。そしてOK432を注射すると糖尿病が起こらないことを見出した(図3.)。
NODマウスは雌は生後30週齢までにほぼ80〜100%が糖尿病となり雄は40%しか糖尿病にならない。佐藤譲博士らはOK432を生後4週齢から25週齢まで毎週1回1単位腹腔内注射すると、未処置雌マウスでは80%が糖尿病を発症したのに対し、注射群では発症は0%であった。NODマウスの膵島炎は生後4週齢から出現し始めたので、4-10週の間にOK432を注射するのが膵島炎の抑制に有効であることが分かった。膵島炎が完成し糖尿病が発症してからではOK432は全く効果がないことも明らかになった。
| ||
|
3. 小児の1型糖尿病の予防
小児期に1型糖尿病になると生涯インスリン注射を続けなければならないので、その発病を予防できれば非常な福音となる。そこでNODマウスなどを基にして見出された予防法から安全で広く用いられる安価な方法が求められ、ニコチナマイドの服用が試みられた。対象は1型糖尿病の1親等者などのリスクの高い人達が選ばれた。フランス、ニュージーランド、ドイツ、オーストリアで試みられ、弱いながら抑制効果がみられるとの成績が多い。しかし極めて有効という成績ではないので日常的に使用されるまでにはならない。さて、1型糖尿病は自己免疫の異常で起こるとすると、北欧で高率であることや、公衆衛生の充実とともに1型糖尿病がみられることに感染症との関連が推測される。近年のわが国では寄生虫保有者は稀である。寄生虫の保有は免疫系を刺激していたが、それがなくなったことが1型糖尿病を多くしているのではないか、とも推測される。
またNODマウスから糖尿病発症に関連する遺伝子を見出そうとする研究も行われた。遺伝子の研究が進んでいるマウスなのですぐに見つかるだろうと思われていた。主要なものはすぐに明らかになったが、関連する遺伝子はほぼ30年になろうとしている今日でも、まだ解明されていない。
(2006年04月03日更新)
※ヘモグロビンA1c(HbA1c)等の表記は記事の公開時期の値を表示しています。
Copyright ©1996-2026 soshinsha. 掲載記事・図表の無断転用を禁じます。
治療や療養についてかかりつけの医師や医療スタッフにご相談ください。

医療・健康情報グループ検索

